講演情報
[O6-01]骨盤輪骨折、恥骨結合離開に伴った膀胱嵌頓の1例
*八木橋 祐亮1、伊藤 誠哲1、野澤 将斗1、藤原 裕士1、高島 靖1、野口 哲哉1、杉山 義晴2、宮城 道人2 (1. 静岡市立静岡病院 泌尿器科、2. 静岡市立静岡病院 整形外科)
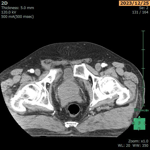
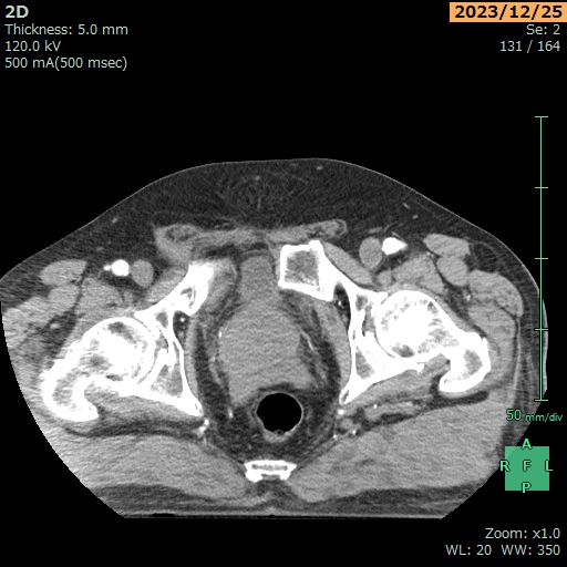
【緒言】骨盤骨折に膀胱損傷は起こりうるが、恥骨結合が離開した間隙への膀胱嵌頓は稀である。今回、術前に認識して膀胱損傷を回避できたため報告する。
【症例】70歳男性。2mの脚立から転落し、近医総合病院へ搬送。恥骨結合離開を伴った骨盤輪骨折(右仙腸関節、恥骨結合離開) AO61B2.3を認め、創外固定が行われたが、それ以上の観血的治療が困難なため、受傷2日目に当院転院 となった。前医による創外固定では恥骨結合離開が十分整復されておらず、搬送当日、創外固定を再造設する方針となった。しかし、恥骨結合離開の間隙に膀胱が嵌頓しているため、創外固定の再造設時に膀胱損傷が懸念された。恥骨上切開で後腹膜腔に到達し膀胱の展開を試みると恥骨結合が離開した間隙に膀胱が嵌っていた。膀胱を直腸側に押し下げた状態を保ちながら離開した恥骨を寄せてワイヤリングし、創外固定を造設した。
【考察】恥骨結合の離開部に膀胱が嵌頓し、膀胱圧迫、膀胱壊死また、長期合併症で膀胱ヘルニアなどが報告される。恥骨結合離開を伴う創外固定前後には膀胱嵌頓の可能性を念頭に入れる必要がある。今回の術中動画とともに報告したい。
【症例】70歳男性。2mの脚立から転落し、近医総合病院へ搬送。恥骨結合離開を伴った骨盤輪骨折(右仙腸関節、恥骨結合離開) AO61B2.3を認め、創外固定が行われたが、それ以上の観血的治療が困難なため、受傷2日目に当院転院 となった。前医による創外固定では恥骨結合離開が十分整復されておらず、搬送当日、創外固定を再造設する方針となった。しかし、恥骨結合離開の間隙に膀胱が嵌頓しているため、創外固定の再造設時に膀胱損傷が懸念された。恥骨上切開で後腹膜腔に到達し膀胱の展開を試みると恥骨結合が離開した間隙に膀胱が嵌っていた。膀胱を直腸側に押し下げた状態を保ちながら離開した恥骨を寄せてワイヤリングし、創外固定を造設した。
【考察】恥骨結合の離開部に膀胱が嵌頓し、膀胱圧迫、膀胱壊死また、長期合併症で膀胱ヘルニアなどが報告される。恥骨結合離開を伴う創外固定前後には膀胱嵌頓の可能性を念頭に入れる必要がある。今回の術中動画とともに報告したい。

